診療案内
京都 犬と猫のがんケアは犬と猫の腫瘍性疾患、腎泌尿器疾患に特化した専門部門です。
リンパ腫、乳腺腫瘍、肥満細胞腫などの腫瘍性疾患から、腎不全、尿路結石、膀胱炎、前立腺疾患などの腎泌尿器疾患まで、専門的な知見に基づいた診断と治療をご提供します。大切なご家族の病気に専門医が寄り添い、最適な治療をご提案できるよう努めてまいります。
※予防診療やその他の診療内容はダクタリ動物病院京都医療センターで対応可能です。
診療対象動物
診療対象動物は犬、猫のみです。
※その他の動物は事前に連絡を頂き、要相談となります。
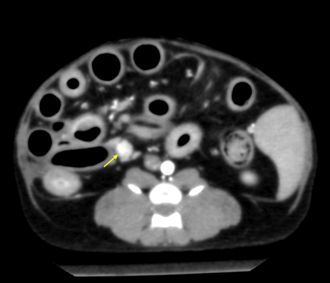
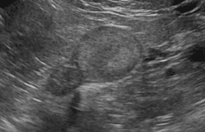
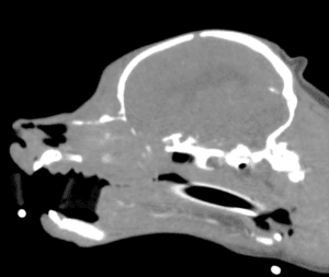
腫瘍科外来
犬・猫のリンパ腫、乳腺腫瘍、肥満細胞腫などの腫瘍性疾患の診察と治療を行います。

















