犬の腫瘍性疾患
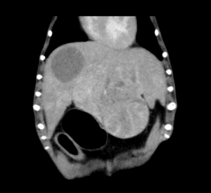
犬の副腎腫瘍

犬の副腎腫瘍は、大きく臨床症状を示す「機能性腫瘍」と、症状を示さず画像検査で偶発的に見つかる「副腎偶発腫」に分類されます。副腎は外側の皮質からコルチゾールなどのステロイドホルモンを、内側の髄質からカテコラミンと呼ばれるホ […]

続きを読む
犬の腫瘍性疾患
犬の口腔内メラノーマ(悪性黒色腫)

犬の口腔内メラノーマは、特に高齢犬や小型犬に多く発生する悪性腫瘍です。歯肉、舌、頬粘膜、口唇などにでき、外見は黒く見えることが多いものの、色がないタイプ(無色素性)も存在します。転移率が高く(リンパ節転移 58-74%、 […]

続きを読む
犬の腫瘍性疾患
犬の小腸腺癌

犬の小腸腺癌は小腸粘膜上皮由来の悪性上皮性腫瘍で、消化器型リンパ腫に次いで2番目に発生が多い消化管腫瘍です。発生頻度は高くありませんが、局所浸潤性が強く、進行に伴いリンパ節や腹腔内臓器へ転移する可能性があります。腫瘍が発 […]

続きを読む
猫の腫瘍性疾患
猫の口腔内扁平上皮癌

猫の口腔内扁平上皮癌は、猫に発生する口の中の悪性腫瘍の中で最も一般的な腫瘍です。発生部位は主に舌下、下顎歯肉、頬の内側(頬粘膜)、扁桃などで、特に下顎骨周囲にできることが多く見られます。この腫瘍は局所浸潤性が非常に強く、 […]

続きを読む
犬の腫瘍性疾患
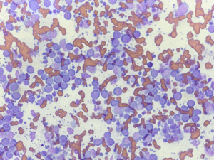
犬のインスリノーマ

犬のインスリノーマ(膵島β細胞腫瘍)は、膵臓のβ細胞が腫瘍化し、必要以上にインスリンを分泌してしまう腫瘍です。インスリンが過剰に出続けると、血糖値の低下(低血糖)を引き起こし、さまざまな臨床症状が引き起こされます。低血糖 […]

続きを読む
犬の腫瘍性疾患
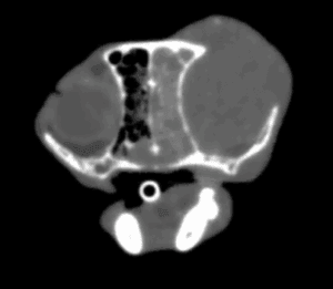
犬の鼻腔内腫瘍

犬の鼻腔内腫瘍は、上皮性腫瘍(腺癌、扁平上皮癌、未分化癌など)が最も多くを占め、残りの多くは非上皮性腫瘍(線維肉腫、軟骨肉腫、骨肉腫、未分化肉腫など)とされています。腫瘍の種類にかかわらず、臨床症状は共通しており、初期に […]

続きを読む
犬の腫瘍性疾患
犬の肛門周囲腫瘍(腺腫・腺癌)

犬の肛門周囲で最も発生が多いのが肛門周囲腺腫です。肛門周囲腺腫は良性腫瘍であり、犬の肛門に輪状に存在する肛門周囲腺という腺組織が腫瘍化したもので、肛門以外にも包皮、尾などにも散在しています。肛門嚢は、肛門の4時方向および […]

続きを読む
猫の腫瘍性疾患
猫の甲状腺腫瘍

甲状腺は、首の気管の両側に位置し、体の代謝を調整する甲状腺ホルモンを分泌する臓器です。猫の甲状腺腫瘍はほとんど良性腫瘍(甲状腺腺腫)ですが、稀に悪性腫瘍(甲状腺癌)も認められます。猫では甲状腺ホルモンを過剰に分泌する機能 […]

続きを読む
犬の腫瘍性疾患
犬の甲状腺腫瘍(甲状腺癌)

甲状腺は、首の気管の両側に位置し、体の代謝を調整する甲状腺ホルモンを分泌する臓器です。犬の甲状腺腫瘍は、全犬腫瘍の約1.2〜4.0%を占める比較的まれな腫瘍ですが、その63〜88%は悪性(甲状腺癌)とされています。発症年 […]

続きを読む
犬の腫瘍性疾患
犬の皮膚腫瘤

犬の皮膚腫瘤(皮膚または皮下)には、良性から悪性まで幅広い腫瘤が発生します。 良性腫瘍・悪性腫瘍の特徴は、次の通りです。 良性腫瘍 ・ゆっくり大きくなる ・柔らかい ・動かせる(可動性あり) ・痛みやかゆみがないなどです […]

続きを読む