犬の前立腺癌(前立腺癌、尿路上皮癌)
前立腺は雄犬に存在する生殖器の一部で、前立腺腫瘍の発生は稀ですが、大部分(約98%)が「腺癌」「尿路上皮癌」などの悪性腫瘍です。前立腺腫瘍の発生と去勢手術の有無には関連がないとされており、発症時点で去勢済雄が63%、未去勢雄が38%という報告があります。無症状の場合も多いですが、血尿や頻尿、排尿困難や排便困難などを認めることがあります。発見時に既に進行・転移(診断時の転移率70~80%)していることが多い腫瘍で、主な転移先としては腹腔内リンパ節、肺、骨(骨盤や腰椎)です。前立腺腫瘍が周囲に拡がることによって、尿路閉塞(尿管・尿道)や直腸狭窄を引き起こします。


診断
身体検査
直腸検査にて前立腺、腹腔内リンパ節を評価します。
血液検査
尿路閉塞による腎障害の有無を評価します。
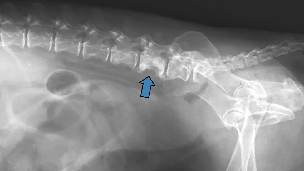
腹部超音波検査
前立腺腫瘍の拡がり、膀胱、腎臓、腰下リンパ節群を中心に評価します。
前立腺の石灰化を認める場合には、前立腺癌を疑います。
胸部/骨レントゲン検査
肺転移や骨転移の有無を評価します。


カテーテル吸引生検
前立腺癌では腫瘍の播種リスクがあるため、細胞診検査が禁忌です。
カテーテル吸引生検により腫瘍組織の採取を行います。
BRAF遺伝子変異検査
陽性の場合には前立腺癌が強く疑われます。
膀胱鏡検査
膀胱鏡で観察しながらの組織生検が可能です。
小型〜中型犬(5~10kg以下)では膀胱鏡が尿道に入らないため実施が困難です。
治療
前立腺癌に対する治療は外科治療、化学療法があり、腫瘍の拡がりや治療目的に選択します。
・腫瘍が前立腺に限局している場合、転移がない+根治を目指す場合:外科治療+術後化学療法
・腫瘍が膀胱や遠位の尿道に拡がっている場合、転移が認められる場合:化学療法、放射線治療
・尿路閉塞を起こしている場合:緩和的外科治療
・外科治療が困難または希望されない場合:放射線治療、化学療法
外科療法
・前立腺全摘出術
適応:腫瘍が前立腺に限局している場合
後遺症:軽度〜中程度の尿失禁(力んだ際に尿が漏れる)
・膀胱前立腺尿道全摘出術+尿路移設術
適応:根治を目的とする場合
後遺症:永続的な尿失禁(常に尿が漏れる)、感染リスクの増加
包皮から陰茎を引き抜き、包皮粘膜に尿管を移設します。
術後の管理(マナーバンドの頻回の交換や、移設部付近の清拭など)が必須です。
・緩和的外科治療
尿道閉塞:尿道ステント設置術、膀胱瘻チューブ設置術
尿管閉塞:尿管ステント設置術、SUBシステム設置術
尿道&尿管閉塞:上記の手術を併用、尿路移設術 ± 膀胱尿道前立腺全摘出術

※クリックするとモザイクなしで表示されます。

※クリックするとモザイクなしで表示されます。

※クリックするとモザイクなしで表示されます。

※クリックするとモザイクなしで表示されます。
化学療法
・一般的にはカルボプラチンやビンブラスチン、トセラニブ、ラパチニブなどが選択されます。
・抗がん剤感受性試験(外科治療による腫瘍組織の採取が必須)を行うことにより、有効な薬剤の選択が可能です。
NSAIDs
・NSAIDsは非ステロイド系抗炎症薬であり、一般的には痛み・炎症・発熱を抑える目的で使用します。
・尿路上皮癌において、NSAIDsによる生存期間の延長や腫瘍縮小が報告されています。
・副作用として肝臓・腎臓・消化管への負担があるため、長期的に使用する場合には定期的な血液検査が必要です。
放射線治療
・報告数は少ないですが、有効性が示されています。
・診断時に症状がない場合や転移がない場合には長期生存が期待できます。
・長期生存した場合には放射線の晩発障害(尿道・尿管狭窄など)が懸念されます。
予後
前立腺癌の予後(生存期間中央値:MST)は以下のようになります。
・無治療 1ヶ月
・NSAIDs 2ヶ月
・化学療法 3ヶ月
・放射線治療±化学療法 7-19ヶ月
・前立腺全摘出術±化学療法 8-17ヶ月
・前立腺膀胱尿道全摘出術±補助治療 8-35ヶ月
摘出できない場合にはNSAIDsや化学療法による内科治療が主体となりますが、残念ながら治療効果は乏しいことが多いです。
外科治療に関しては、前立腺膀胱尿道全摘出術の方が長期間の生存が期待されますが、自宅での看護が必要となります。
飼い主様へ
犬の前立腺癌は悪性度が高く、診断時にはすでに進行していることが多い腫瘍です。そのため、早期発見と早期治療がとても重要です。血尿や頻尿、排尿困難(排尿時間が長い、排尿しづらそう)などの症状がある場合には、前立腺の病気が隠れている可能性があります。「年齢のせいかな」と思って見過ごしてしまうこともありますが、これらのサインを見逃さず、早めに検査を受けることが大切です。また、発見時にすでに腫瘍が拡がっている場合でも、できることはたくさんあります。痛みや排尿障害を和らげる疼痛緩和や尿道ステントの設置、放射線治療や投薬による症状緩和など生活の質(QOL)の改善や維持を目的とした治療を行うことが可能です。その子とご家族にとって最善の方法を一緒に考えながら、穏やかに過ごせる時間をできるだけ長く保つことを目指します。
*画像提供:松原動物病院

