犬の副腎腫瘍
犬の副腎腫瘍は、大きく臨床症状を示す「機能性腫瘍」と、症状を示さず画像検査で偶発的に見つかる「副腎偶発腫」に分類されます。副腎は外側の皮質からコルチゾールなどのステロイドホルモンを、内側の髄質からカテコラミンと呼ばれるホルモンを分泌しています。皮質側が腫瘍化することによりコルチゾールが過剰に産生されると、多飲多尿、腹部膨満、皮膚の菲薄化や脱毛などの症状を呈し、これらは総称してクッシング症候群(副腎皮質機能亢進症)と呼ばれます。クッシング症候群の原因は脳の下垂体の異常が多く(80%)、副腎腫瘍が原因となる場合は少ないとされています(20%)。下垂体によるクッシング症候群でも副腎が大きくなり、副腎腫瘍のように見える場合がありますが、その場合には左右の副腎が軽度に大きくなるのが一般的です。一方、髄質由来の腫瘍である褐色細胞腫ではカテコラミンの過剰分泌により高血圧、頻脈、興奮、失神発作などが認められることがあります。また、臨床症状がまったく認められず、健康診断や他疾患の評価のために実施した超音波検査・CT検査で偶然に発見される副腎腫瘤も多く存在します。これらは副腎偶発腫と呼ばれ、機能性腫瘍かどうか、良性か悪性かを判断するためには、追加のホルモン検査や画像診断が必要となります。機能性の有無以外に、その副腎腫瘍が悪性かどうかが治療のポイントとなります。
検査
身体検査
筋肉量、皮膚の状態、腹部膨満の有無などの評価を行います。
血液検査
高脂血症、ALPなどの評価を行います。
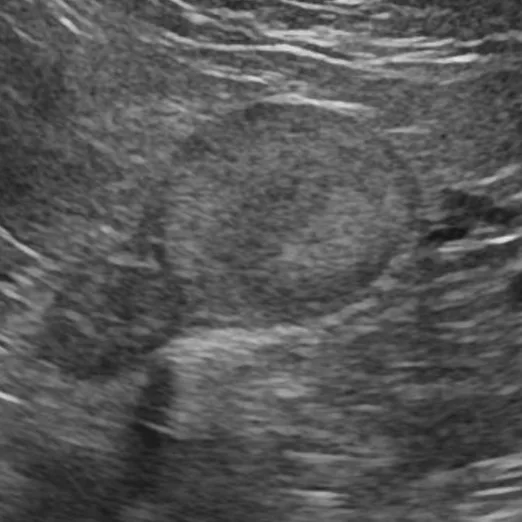
腹部超音波検査
副腎の評価(サイズや形)、血管との関連性を行います。



胸部レントゲン検査
転移の有無などを評価します。
血圧測定
高血圧の有無を評価します。
ホルモン機能検査
・尿中コルチゾール/クレアチニン比(尿の検査) = 皮質機能の評価
クッシング症候群かどうかの判断に用います。
正常であればクッシング症候群が否定できます。
検査には持参尿が必要となります。
・低用量デキサメタゾン抑制試験(血液の検査) = 皮質機能の評価
クッシング症候群かどうか、機能性副腎腫瘍かどうかの判断い用います。
デキサメタゾンの投与前、投与4時間後、8時間後のコルチゾールを測定します。
・内因性ACTH濃度(血液の検査)
副腎腫瘍かどうかの判断に用います。
・尿中メタネフリン分画(尿の検査) = 髄質機能の評価
褐色細胞腫かどうかの判断に用います。
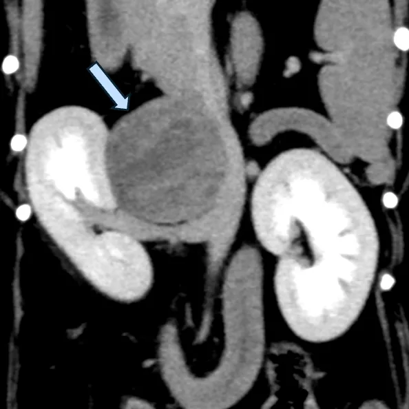
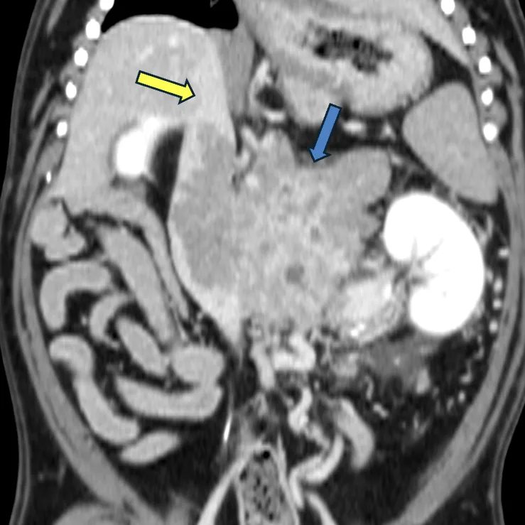
CT検査
・腫瘍のサイズ、血管との関連性を評価します。
・下垂体や腫瘍の転移がないかも同時に評価します。
・外科治療を行う場合には必須の検査となります。



前述した検査を行い、副腎腫瘍を機能性腫瘍、悪性腫瘍、副腎偶発腫に分類します。
悪性所見には、副腎腫瘍サイズが2cm以上、血管内浸潤、転移があります。

治療
副腎偶発腫の場合には経過観察(症状の有無、腹部超音波検査による腫瘍サイズなど)が推奨されます。
機能性副腎腫瘍、悪性副腎腫瘍の場合には治療対象となります。
外科治療
・外科治療が第一選択となります。
・機能性副腎腫瘍の場合には、ホルモンの過剰分泌を抑えるために術前の内科治療が必要となります。
・外科治療の周術期死亡率は、以前は30~60%とされており、難易度の高い手術とされていました。
・近年の報告では治療成績がかなり改善:血管浸潤がない場合では周術期死亡率10%以下、血管浸潤がある場合には24%
・治療成績は改善していますが、手術の技術や設備、術前術後の内科治療が重要なポイントとなります。

※クリックするとモザイクなしで表示されます。

※クリックするとモザイクなしで表示されます。

※クリックするとモザイクなしで表示されます。
内科治療
・外科治療を行わない場合や外科治療に先立って内科治療を行います。
・機能性皮質腫瘍の場合には、トリロスタン(副腎皮質ホルモンを抑える薬)を使用します。
・機能性髄質腫瘍(褐色細胞腫)の場合には、降圧剤を使用します。
放射線治療
・外科治療を行わない場合、外科不適応の場合に行います。
トセラニブ
・外科治療を行わない場合、外科不適応の場合、腫瘍の再発時に使用します。
予後
・機能性副腎皮質腫瘍
外科治療:生存期間中央値 778-953日、外科治療により良好な予後が期待できます。
内科治療:生存期間中央値 353-596日、比較的良好な予後が期待できます。
・褐色細胞腫
外科治療:生存期間中央値 374日、転移の有無や腫瘍サイズ、局所浸潤の程度によって異なります
外科治療を乗り越えた場合の予後は良好とされています。
内科治療:1年以上生存できる場合もあります。
飼い主様へ
副腎腫瘍は、分泌されるホルモンの種類や腫瘍の性質によって症状や治療方針が大きく異なるため、まず正確に診断することが非常に重要です。また、副腎腫瘍の多くは、外科的に摘出することで良好な予後が期待できる腫瘍です。ただし、手術には高度な技術と適切な内科管理が必要となります。安全に治療を進めるためには、適切な設備と経験を持つ施設で手術を行うことが大切です。一方で、腫瘍の性質や全身状態によっては手術が難しい場合もあります。そのような場合でも、内科的治療や放射線治療など、腫瘍の進行を抑えるためにできることはあります。治療法によって期待できる効果や通院頻度、副作用が異なるため、飼い主様の生活スタイルや動物の負担も考慮しながら、最適な治療を一緒に考えていきます。
*画像提供:松原動物病院
