犬の口腔内メラノーマ(悪性黒色腫)
犬の口腔内メラノーマは、特に高齢犬や小型犬に多く発生する悪性腫瘍です。歯肉、舌、頬粘膜、口唇などにでき、外見は黒く見えることが多いものの、色がないタイプ(無色素性)も存在します。転移率が高く(リンパ節転移 58-74%、肺転移 14-67%)、早期発見と迅速な治療が重要です。
・発生部位:歯肉、口唇、舌、扁桃など
・主な症状:食欲低下、出血、よだれ、口臭、顔面の変形など



診断
身体検査
口腔内腫瘤、リンパ節の腫大などを評価します。
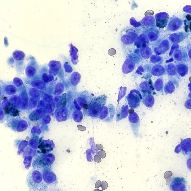
細胞診検査
メラノーマの多くは細胞診検査で診断が可能です。
腫大している場合にはリンパ節の細胞診も行います。
病理組織学的検査
無色素性の場合には病理組織学的検査が必要です。
胸部レントゲン検査
肺転移の有無を評価します。
腹部超音波検査
腹腔内臓器への転移の有無を評価します。
CT検査
腫瘍の拡がり(口腔内、リンパ節、肺)を評価します。
上記の検査より、ステージ分類を行います。



口腔内メラノーマのステージ分類
原発巣(T)、リンパ節転移(N)、遠隔転移(M)をそれぞれ評価して、ステージ分類を行います。

治療
外科治療
第一選択となる治療です。
広範囲での切除(顎骨を含んだ)が推奨されます。
ステージングのためにリンパ節も同時に摘出します。


※クリックするとモザイクなしで表示されます。

※クリックするとモザイクなしで表示されます。
放射線治療
外科治療が適応にならない場合に選択されます。
手術後補助治療として実施する場合もあります。
適応の場合には放射線治療が実施可能な施設へ紹介致します。
化学療法
手術後や放射線治療後に補助治療として行う場合があります。
免疫療法
Oncept®(DNAワクチン):手術後補助療法として使用します。



(ベーリンガーインゲルハイムHPより)
予後
ステージや治療方法によって異なりますが、残念ながら予後は不良な疾患です。
しかし、積極的な治療でQOLの改善や生存期間を延長させる事が可能です。
・Stage1:18〜21ヶ月
・Stage2:9ヶ月
・Stage3:6ヶ月
・Stage4:4ヶ月
飼い主様へ
口腔内メラノーマは進行が早く、転移しやすい腫瘍です。少しでも気になる症状があれば、早めの診察をおすすめします。当院では、CT検査や病理組織学的検査による正確な診断と外科治療や免疫療法(Oncept)などを組み合わせた治療が可能です。放射線治療をご希望される場合には適切な施設へご紹介させて頂きます。外科治療が最も有効な治療方法ですが、動物への負担が大きい治療となりますので、動物とご家族に合わせた治療を相談させて頂きます。
*画像提供:松原動物病院

