犬の膀胱移行上皮癌(尿路上皮癌)
犬の膀胱移行上皮癌(TCC)は浸潤性尿路上皮癌(iUC)とも呼ばれ、膀胱に発生する腫瘍のうち90%以上が移行上皮癌です。中高齢犬に多く、雌にやや多く認められます。スコティッシュテリアが好発犬種として有名で、雑種犬に比べて20倍以上の発症リスクが報告されています。そのほかには、シェットランドシープドッグ、ウエストハイランドホワイトテリア、ビーグル、ダルメシアン、サモエド、キースホンドなども高リスク犬種として知られています。発生部位としては膀胱三角部に集中する傾向があり、これが尿路閉塞を引き起こす大きな原因となります。診断時点で大半の症例(82〜98%)は既に膀胱壁の筋層へ浸潤しており、尿道浸潤や前立腺への浸潤が認められることも多いです。また、転移についても診断時点でリンパ節転移が約16%、遠隔転移が14%に認められ、肺や肝臓、骨などが主要な転移部位となります。

診断
身体検査
直腸検査にて腹腔内リンパ節や前立腺、尿道を評価します。
血液検査
尿路閉塞による腎障害の有無を評価します。
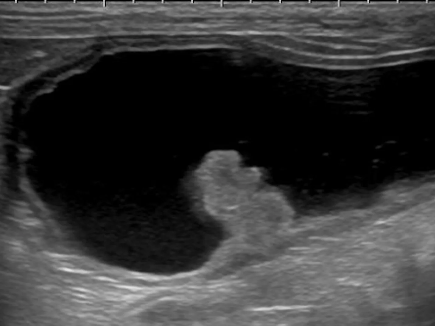
腹部超音波検査
膀胱腫瘤、腎臓、腰下リンパ節群を中心に評価します。
胸部/骨レントゲン検査
肺転移や骨転移の有無を評価します。
カテーテル吸引生検
移行上皮癌では腫瘍の播種リスクがあるため、細胞診検査が禁忌です。
カテーテル吸引生検により腫瘍組織の採取を行います。
BRAF遺伝子変異検査
陽性の場合には移行上皮癌が強く疑われます。
HER2遺伝子検査
尿路上皮癌の30%においてHER2の遺伝子コピー数異常が認められています。
分子標的薬ラパチニブの効果予測にも有用です。
膀胱鏡検査
膀胱鏡で観察しながらの組織生検が可能です。
小型〜中型犬(5~10kg以下)では膀胱鏡が尿道に入らないため実施が困難です。



TNM分類

治療
治療方針の選択は、腫瘍の位置、転移の有無、治療の目的により決定されます。
1、膀胱三角部から離れている位置に発生+転移なし → 膀胱部分切除術 ± 化学療法
2、膀胱三角部に発生+転移なし
・積極的な治療
1、膀胱尿道全摘出術+尿路移設術 ± 術後化学療法
2、放射線治療 ± 術後化学療法
・緩和的な治療:化学療法
3、転移がある場合 → 化学療法が中心
4、尿路閉塞が起こっている場合
・尿道閉塞:尿道ステント設置術、膀胱瘻チューブ設置術
・尿管閉塞:尿管ステント設置術、SUBシステム設置術
・尿道&尿管閉塞:上記の手術を併用、尿路移設術 ± 膀胱尿道全摘出術


放射線治療
・報告数は少ないですが、有効性が示されています。
・長期生存した場合には放射線の晩発障害(尿道・尿管狭窄など)が懸念されます。
化学療法
・一般的にはカルボプラチンやビンブラスチン、トセラニブ、ラパチニブなどが選択されます。
・薬剤によって投与頻度や投与経路、通院頻度が異なります。
NSAIDs
・NSAIDsは非ステロイド系抗炎症薬であり、一般的には痛み・炎症・発熱を抑える目的で使用します。
・尿路上皮癌において、NSAIDsによる生存期間の延長や腫瘍縮小が報告されています。
・副作用として肝臓・腎臓・消化管への負担があるため、長期的に使用する場合には定期的な血液検査が必要です。
予後
移行上皮癌の予後(生存期間中央値:MST)は以下のようになります。
・無治療 2ヶ月
・NSAIDs 5-10ヶ月
・化学療法+NSAIDs 8-14ヶ月
・膀胱部分摘出術±化学療法 3-12ヶ月
・膀胱尿道全摘出術±化学療法 6-12ヶ月
・放射線治療±化学療法 10-22ヶ月
飼い主様へ
膀胱移行上皮癌では、多くの場合、腫瘍による「尿路閉塞」が命に関わる原因となります。そのため、治療の大きな目的のひとつは、尿路閉塞を起こさせない、あるいはできるだけ遅らせることです。尿路閉塞を防ぐために、外科治療、放射線治療、化学療法などを組み合わせて治療を行います。すでに尿路閉塞が起こっている場合には、まず尿の流れを改善させる処置を優先し、その後に腫瘍に対する治療を検討します。尿路閉塞が起こると、数日以内に命に関わる状態になることもあり、迅速な対応が必要です。そのため、膀胱移行上皮癌と診断された時点で、「将来的に尿路閉塞が起こった場合、どのような治療・対応を選択するのか」を、あらかじめご家族と一緒に考えておくことがとても重要だと考えています。不測の事態が起こった際にも、その子にとって最善の選択ができるよう、事前にしっかりと話し合い、ご家族と一緒に相談しながら治療を進めさせていただきます。
*画像提供:松原動物病院
